As a dental nurse here at Swords Orthodontics, I've seen alot of young children come through our doors with their parents looking for an Orthodontic opinion about their teeth. Many of which present with a narrow upper jaw (maxilla) compared to their lower jaw (mandible). There is a orthodontic interceptive method to help correct this called a Rapid Maxillary Expander (RME). I get asked questions about it a lot by parents and patients so I decided to write a blog post about it.
Narrow arch before RME

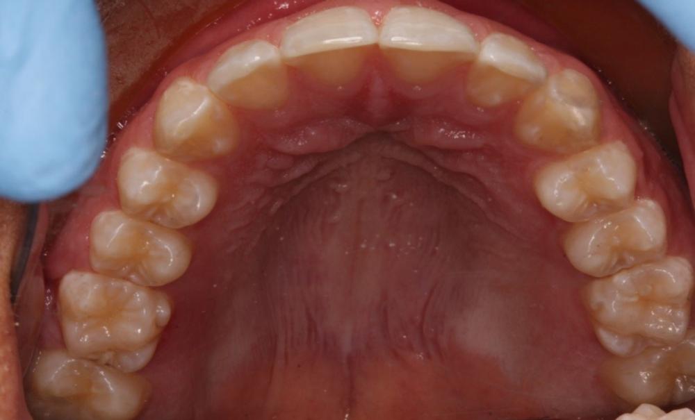
Narrow arch with the RME in

Narrow arch after RME and fixed braces


What are the causes: Genetics
Presents as/What to look for: It’s most common when a child has a posterior crossbite, when the top teeth fit inside of the bottom teeth (normally the top teeth bite outside the lower teeth) and also in cases of severe crowding. Sometimes, due to the positions of the jaws, there isn’t a crossbite but the upper jaw is too narrow to fit well around the lower jaw when they are in good positions, but this is really only something that a dentist can measure.
Complications: This can result in crowding and misalignment of the teeth as not every child has enough space in their jaw for all their adult teeth. It can also limit the position of the lower jaw and the way the mouth closes
What are the interceptive methods? In young and growing patients, the upper jaw is in two halves and where they meet is potential for growth that will make the jaw wider. A Rapid Maxillary Expander (RME) is specially designed to widen the upper jaw. When the appliance is fitted the Orthodontist will show you how to widen the RME by using a key.
How do I use the key to widen the RME? When turning, insert the key in the hole facing the front. Gentle push down towards their tongue until the next hole can be seen. Be careful when removing the key so you don't turn the screw back. The best time to turn the key is at night time before bed so if there is any discomfort your child will be asleep through it.
Is it normal if a gap form in between the front teeth? Yes, but don't worry this just means that the appliance is working properly and the gap will close later.
When will I stop turning? Once the Orthodontist says that there is adequate palatal width he will tell you to stop. The RME is then tied off using a ligature wire and stays passively in place for around three months.
Is the RME sore? The patient may feel the initial pressure on their teeth. in the middle of their palatal, in the nose, in the cheeks and may experience headaches. If the patient experiences any of these it is advised to take the usual pain killers they normal take for a headache. If the patient is in severe pain or discomfort then make an appointment to see us straight away.
Is there dietary restrictions? Stay away form sticky and chewy foods.
What if it breaks or becomes loose? Make a appointment to see us straight away.
I hope this blog post helped!

