Smile Gallery
These are photos of patients actually treated by the team at Swords Orthodontics, who have given their permission for their photos to be used in the gallery.
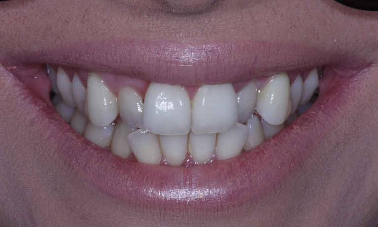
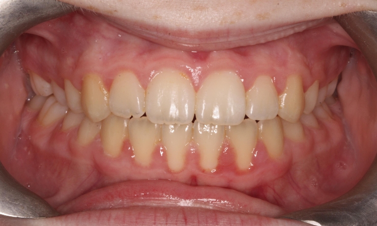
Before

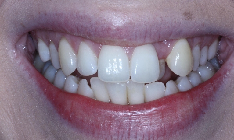
After

Original problem: Crowding
The upper and lower arch were crowded and the canines were prominent- treated with Invisalign over 12 months
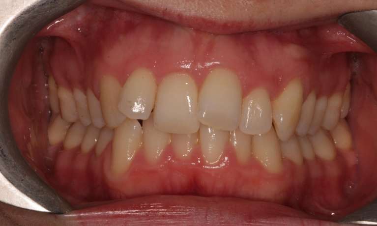
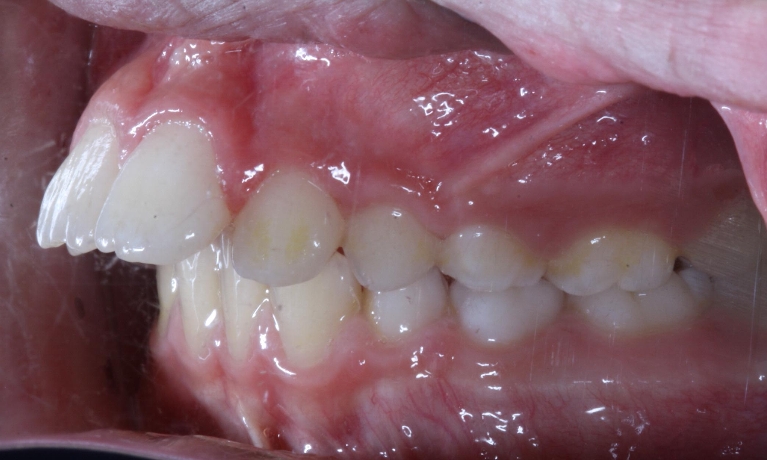
Before

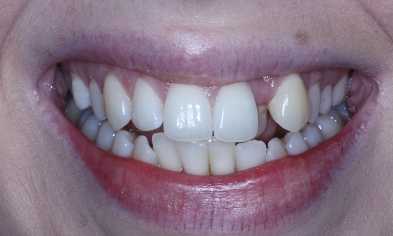
After

Original Problem: Crowding
This 12 year old was treated with upper and lower fixed appliances by our orthodontist Dr Bogdan Selejan
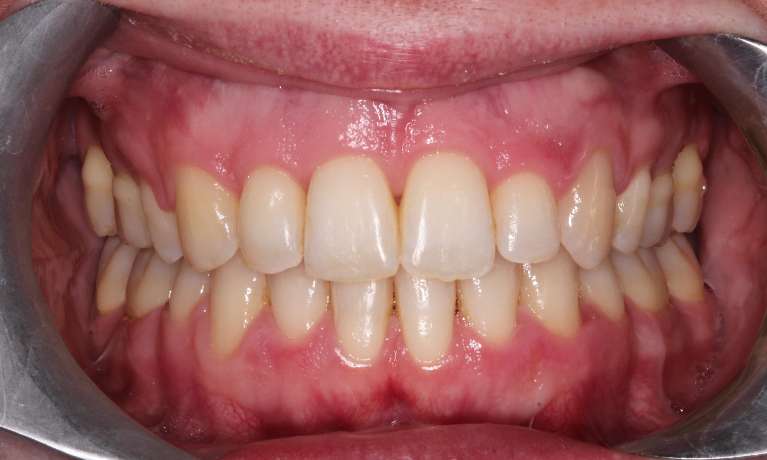
Before

After

Original Problem: Crowding
This adult patient was treated with upper and lower fixed appliances to correct the crowding
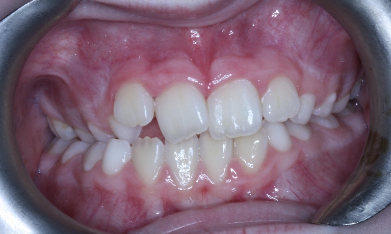
Before

After

Original Problem: Crowding
This adult patient was treated by Dr Stephen Murray with clear aligners to achieve this great result!
Before

After

Original Problem: Crowding
This patient was treated with Invisalign aligners to align and straighten the teeth over 20 months
Before

After

Original problem: Crowding
50 yr old patient with upper and lower arch crowding wore Invisalign aligners for 20 months to achieve this result
Before

After

Original problem: Narrow upper jaw and crowding
This patient had a narrow upper jaw which was expanded using an RME appliance and fixed appliances to align and level the arches. Total treatment time was 34 months
Before

After

Original Problem: Crowding
29 yr old patient treated with upper and lower ceramic (clear) fixed braces over 18 months
Before

After

Original Problem: Crowding
24 yr old treatment with upper and lower clear fixed braces over 24 months
Before

After

Before

After

Original Problem: Overjet and Crowding
10 yr old patient with a 10mm overjet- treated with twinblock appliances for 10 months and upper and lower fixed braces afterwards for 20 months.
Before

After

Original Problem: Upper Arch Spacing and Lower Arch Crowding
13 yr old patient with spacing in the upper arch and crowded teeth in the lower arch. Treated with fixed appliances over 22 months.
Before

After

Original Problem: Crowding
Invisalign Teen case- 16 yr old with upper and lower arch crowding treated with Invisalign for 15 months
Before

After

Original Problem: Crowding
15 yr old patient with upper and lower arch severe crowding- treated with fixed appliances over 24 months
Before

After

Original Problem: Crowding
13 yr old patient with upper and lower arch crowding- treated with upper and lower fixed braces over 24 months
Before

After

Original Problem: Severe Crowding
26 yr old patient with severe upper and lower arch crowding- treated with upper and lower clear fixed braces over 23 months
Before

After

Original Problem: Mild Crowding
Short case of Invisalign treatment to align upper and lower incisor teeth- treated over 10 months
Before

After

Original Problem: Crowding
24 yr old patient with upper and lower arch crowding. Treated with upper and lower clear fixed appliances over 23 months
Before

After

Original Problem: Severe Crowding
14 yr old patient treated with an expander brace on the upper arch to widen the upper jaw and upper and lower fixed braces to align and straighten- treated over 36 months
Before

After

Original Problem: Crowding
Upper and lower arch crowding- patient was treated with Invisalign aligners over 20 months
Before

After

Original Problem: Spacing
15 yr old patient with upper and lower arch spacing treated with upper and lower fixed braces over 18 months
Before

After

Original Problem: Crowding
Upper and lower arch crowding treated over 18 months with Invisalign aligners
Before

After

Original Problem: Crossbite and Crowding
This 15 yr old patient had an anterior crossbite and crowding and was in treatment for 23 months wearing upper and lower fixed braces
Before

After

Original Problem: Crowding
24 yr old patient with upper and lower arch crowding. Treated with upper and lower clear fixed appliances over 23 months
Before

After

Original Problem: Spacing
28 yr old patient with upper arch spacing treated with Invisalign aligners over 15 months
Ready to book an appointment?
Schedule Now
Smile Gallery Categories