Swords Orthodontics
17 Main St, Swords, Co Dublin, Ireland

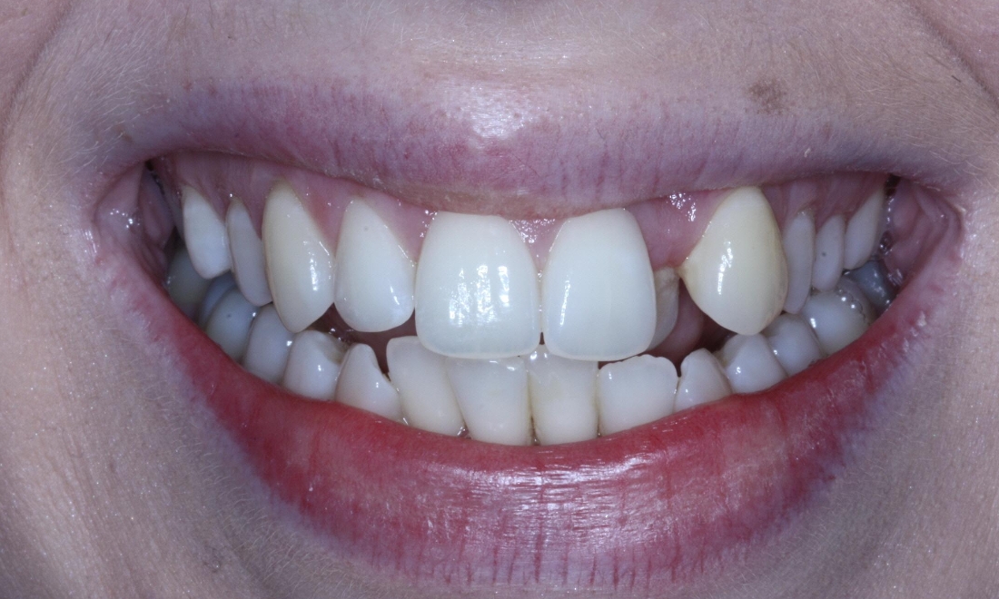
Original Problem: Crowding

24 yr old patient with upper and lower arch crowding. Treated with upper and lower clear fixed appliances over 23 months
Have Questions? Get in Touch