Welcome to Swords Orthodontics. If you're unhappy with the appearance of your smile, or the way your teeth meet or line up, then let’s see if we can help you – we specialise in the area of dentistry that deals with the position and alignment of the teeth.
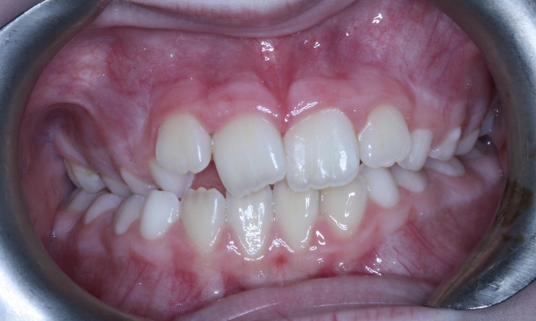
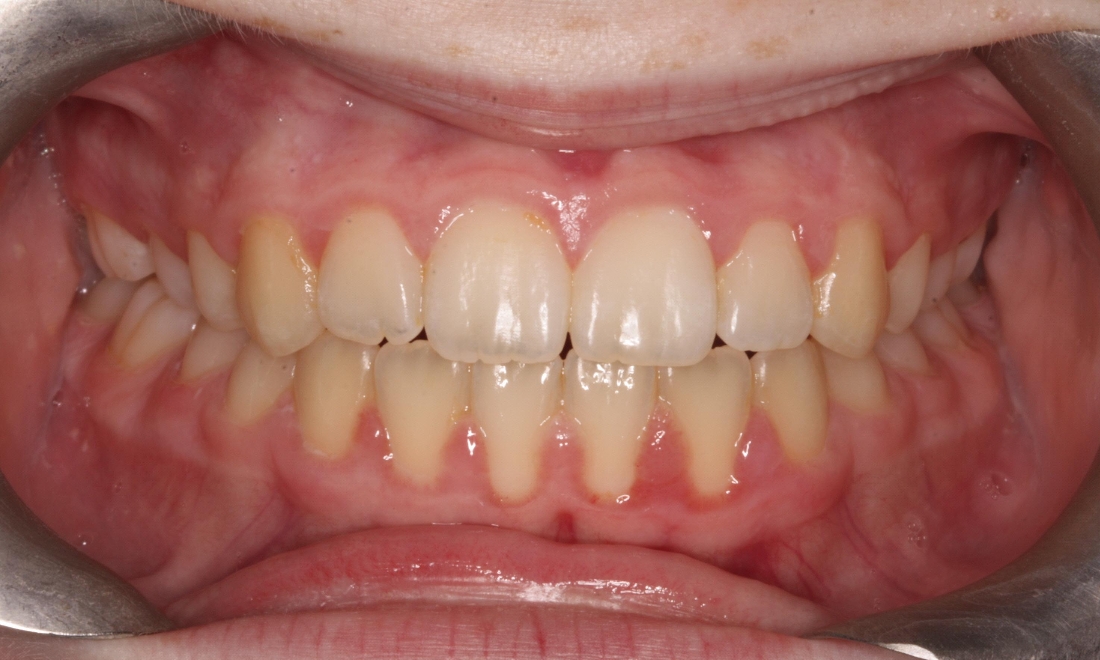
This patient had a narrow upper jaw which was expanded using an RME appliance and fixed appliances to align and level the arches. Total treatment time was 34 months