Swords Orthodontics
17 Main St, Swords, Co Dublin, Ireland

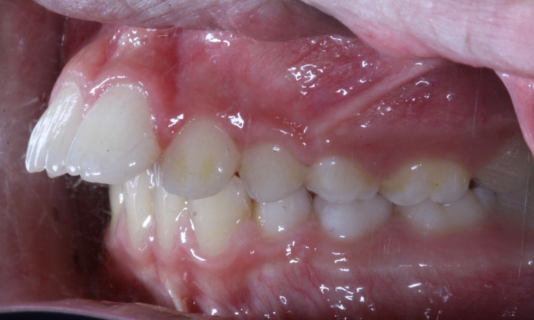
Original Problem: Overjet and Crowding

10 yr old patient with a 10mm overjet- treated with twinblock appliances for 10 months and upper and lower fixed braces afterwards for 20 months.
Getting an appointment is fast and easy!